經海漁業科研中試基地內,孵化成苗不久的花鱸歡快地游曳。在不遠的將來,他們會進入智能網箱,繼續深海之旅。

“百箱計劃”規劃模擬圖
這條深?!爱a業鏈”已經深深印刻在經海漁業的基因里,也即將呈現在港城向海圖強的版圖里。
情有獨鐘
魚兒游進鮮美煙臺
成立不滿一年的經海漁業,已經盡顯領跑者姿態。
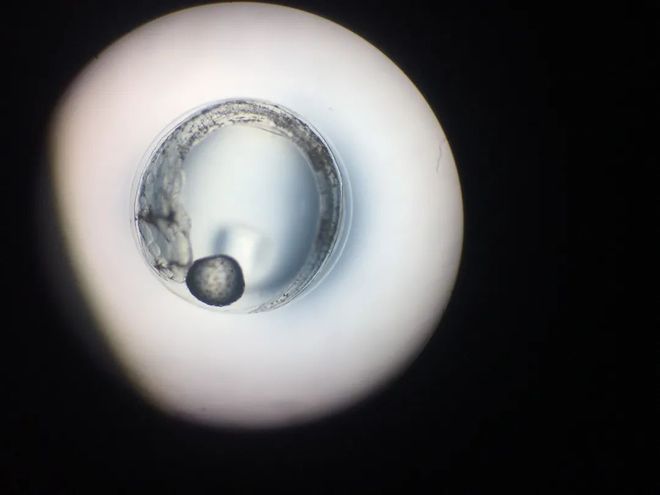
昨天上午,記者來到經海漁業科研中試基地,一個個恒溫水池中,魚苗活力十足?!胺趸齻€月的小魚,已經長到了4-5公分?!苯浐O業科研部經理史春芳介紹說,花鱸魚苗在中國海洋大學溫海深教授團隊的指導下,順利繁育成功。同時,黑鮶的育苗工作也在有序的進行中,目前5000余尾黑鮶親魚正在保種之中。以人工魚苗替代傳統的海捕苗,苗種純,質量高,規格整齊,便于管理,可計劃性生產,是走向規?;s化工業化養殖的第一步,是產業鏈配套技術鏈的重要一環,為優選優育種質保護打下基礎,是傳統漁業轉型升級現代漁業的標志之一。
花鱸魚苗
為啥對黑鮶和花鱸情有獨鐘?“就像挪威發展三文魚(大西洋鮭)產業一樣,鮭鱒類是挪威的原產地品種,那黑鮶是山東的原產地品種,我們稱之為‘省魚’,花鱸是南北方共有的回游性原產地魚種,我們稱之為‘國魚’。兩條魚都是我們自有的物種,因為自然資源稟賦,道法自然,養殖我們海域自有的魚種是科學的選擇,過度捕撈、生態破壞、工業化污染等都會對原產物種產生威脅,作為國有企業,我們有保護生態,喚回原生的社會使命。另外,黑鮶與花鱸有共通的產業化基礎,從種到卵到苗、到中間體、到商品魚、到海域選擇、到加工品、到認知度,我們都經過充分的調研與評估。這兩條魚具備先天優勢,是適合深水網箱養殖的品種。而且,從技術配套上,我們擁有‘黑鮶之父’——山東省海洋資源與環境研究院姜海濱教授團隊作為技術支撐,我們擁有‘花鱸之父’——中國海洋大學溫海深教授團隊作為技術支撐,兩位科學家都是海水魚體系各自魚種的崗位科學家,我們有信心在這兩條魚的核心技術上能夠掌握與突破。我們內部有一個共同的說法——‘好種好水好裝備好食材’,這是經海的共同價值觀,共同信念?!笔反悍颊f。
“更遠,更深,更好?!背唆~好之外,深海智能網箱讓黑鮶和花鱸在最好的條件下成長,讓一條條高品質的魚兒游到百姓餐桌上。
鱸魚魚卵破膜前期
從種到卵到苗,全過程都有強大的專家團隊護航,記者在經海漁業科研部看到,從種到苗的培育工作都是博士團隊和碩士團隊來完成。而在經海漁業背后,一個強大的科研后盾已經建立——全球深遠海智能化海洋產業開發科研團隊。經海漁業科研部經理史春芳介紹,經海漁業先后與國家、省、市、區10余家科研機構、高校院所建立合作關系。研究方向涵蓋海洋生物育種、生態高效增養殖、營養與飼料、疫病防控、漁業設施設備、海洋牧場運營、質量安全與加工流通等領域,為海洋產業全鏈發展輔以技術支撐,將經海技術力量逐步打造成現代海洋漁業示范與發展的源動力、孵化器與放大器。
生態立體
嶄新模式構建“海底世界”
百箱計劃建造基地里一片如火如荼,首個深海智能網箱經海一號逐漸成型。生態化、立體化養殖模式,讓一個網箱就能造就一個精彩的“海底世界”。
生態化、立體化養殖模式是如何建立的?史春芳介紹,智能網箱平臺為鋼結構68m*68m*40m的坐底式網箱平臺,養殖包圍水體約7萬立方米。深海網箱除了適養魚類外,會同時輔以海面藻類種植和海底貝類底播等,形成一個完善的生物生態系統?!氨热绾У仍孱惖墓夂献饔茫梢越o魚類提供充足的氧氣,魚類的殘餌和糞便中,產生的有機氮會被海參吸收,分解出的無機氮是海帶生長需要的肥料……”史春芳說,這樣不僅會節約成本、提高產品品質,還能保證養殖活動不會對海底原來的生態系統造成影響。
一個個網箱造就的海底世界,也是一個個打開海洋經濟大門的鑰匙——智能網箱全部達產后年產魚類10萬噸,同時加上平抑市場波峰波谷的其他魚種、以及海面大型藻類的養殖以及底播采捕等,產值超百億元。更為可觀的是,一條產業鏈從大海深處慢慢崛起,通過規?;a,來帶動工程技術、生物技術、水產養殖、加工處理、冷鏈運輸等海洋漁業全產業鏈的發展,實現從深海到餐桌的全產業鏈運營,打造中國“一條魚”產業模式。
敢于弄潮
經海掀起漁業養殖變革
消費者輕點鼠標,便可看到一條魚成長的全過程。經海漁業的一條模擬視頻中,全自動、智能化的養殖模式,顛覆了人們對漁業養殖的想象。
記者了解到,傳統的養殖模式曾對我國水產品產量的快速增長起了重大作用。
但隨著人們消費水平和環保意識的增強,傳統水產養殖模式的種種弊端逐漸顯現出來——傳統養殖模式多數以消耗資源、犧牲環境為代價,而且始終無法打破“看天吃飯”的瓶頸。深海智能網箱能實現網箱平臺的深遠海魚類養殖功能,配備生活、機械平臺。網箱平臺采用風光儲能作為日常電力供應方式,通過自動投喂、水下監測、水下洗網等設備,實現了網箱平臺養殖的自動化、智能化。
經海一號即將在今年年中交付使用,未來計劃以煙臺模式為示范,布局100套深遠海養殖設施,形成“總部煙臺、輻射全國”,以海洋蛋白為核心產品,帶動全產業鏈、供應鏈、要素鏈集聚,打造裝備水平最高、綜合效益最好的現代化海洋牧場。條件成熟時,還會向“一帶一路”沿線國家復制推廣,打造成為全國現代化海洋牧場建設的“煙臺樣板”。
看,冬日里的大海浪潮澎湃,經海漁業百箱計劃掀起現代化漁業養殖變革,已經拉開帷幕。
轉載聲明
來源:煙臺日報
魯公網安備37069302889049號